随着医学技术的发展,
越来越多人被检出有肺部结节。
小小的结节如何确定性质?
最近,
老年慢阻肺患者李先生就遇到了这样的问题。
李先生在胸部CT检查时发现左上肺小结节伴有小空洞,经过抗感染治疗无明显吸收,急需进一步明确结节性质,但李先生的肺部结节位于常规支气管镜检查无法到达的部位,且李先生肺气肿严重不能耐受肺穿刺风险,后至苏州九院副院长吴巧珍的专家门诊咨询。吴巧珍分析病情、综合评估后建议李先生行“电磁导航下支气管镜活检+肺泡灌洗液NGS检查”。
 
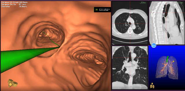
作为介入呼吸病学的**进展,电磁导航支气管镜技术是现代电磁导航技术、虚拟支气管镜和三维CT成像技术相结合的新一代支气管镜检查系统。该系统如同肺部的GPS导航系统,能够建立一条直达肺内病灶的精准诊疗通道,对肺部病变尤其是肺小结节病灶的诊断更准确,与传统诊断方法比较有显著的优势。苏州九院呼吸与危重症医学科副主任董凌云提前将李先生的高分辨率CT图像导入磁导航系统,构建确定了“GPS导航”路径。在麻醉医生的配合下,呼吸与危重症医学科副主任张剑锋利用电磁导航支气管镜诊疗技术,在纵横交错的“支气管交通网”中,按照系统提前规划的“GPS导航”路径,可视化操作支气管镜,精准到达左肺上叶后段结节处“目的地”,成功获取了左肺上叶后段结节的病理活检组织,并给予肺泡灌洗送NGS检测,顺利完成吴江区域内首例“电磁导航支气管镜检查”,开启了吴江地区肺部外周病灶精准诊疗模式。

近年来,随着计算机断层扫描肺部筛查的普及,筛查期间发现了很多的外周型肺结节,这些外周型肺结节的性质单从影像学上无法分辨,明确诊断需依靠病理检查。但经气管镜穿刺或活检很多时候无法到达外周型肺结节的位置,可能需要进行并发咯血、气胸、血胸等风险较高的CT引导下经皮肺穿刺才能取到病理,且该项检查患者辐射暴露的风险亦增加。而磁导航支气管镜检查则突破了传统支气管镜检查的应用瓶颈,该项检查是一种将磁导航系统、支气管镜检查以及CT三维重建技术相结合的新技术:在患者CT影像的基础上,通过建立肺部“GPS导航”地图,利用体外磁场定位板来进行实时引导定位电磁导航支气管镜操作,使得定位导线和鞘管快速精准地到达肺部的每一个角落,可以精准定位肺外周靶病灶、开展活检及治疗。
电磁导航支气管镜检查
具有精准、微创、并发症少的特点,
不但能用于结节的诊断,
还能为后期需要手术、射频等治疗的患者
提供精准定位。
吴巧珍介绍,电磁导航支气管镜检查是实现肺部疾病精准诊疗的一项重要手段,利用该工作通道可进行活检采样、病灶标记、术前染色定位、消融治疗、放射粒子植入、介入靶向治疗等,对于肺部恶性疾病起到“早诊断、早治疗”的目的,从而提高肺癌患者的整体生存率。医院引进开展电磁导航支气管镜系统,实现了气管镜技术力量的全新升级!今后,呼吸与危重症医学科将联合心胸外科、介入科、肿瘤放疗科等进一步拓展该技术的应用范围,推动医疗技术水平再上新台阶,为守护广大人民群众的肺部健康再作新贡献。
呼吸与危重症医学科 宋卫珍