日前,患者蒋某的家属将一面印有“妙手回春 医德高尚”的锦旗送到了苏州九院医护人员手中,对他们的精心诊治和无微不至的照护表示感谢。
 
事情缘由
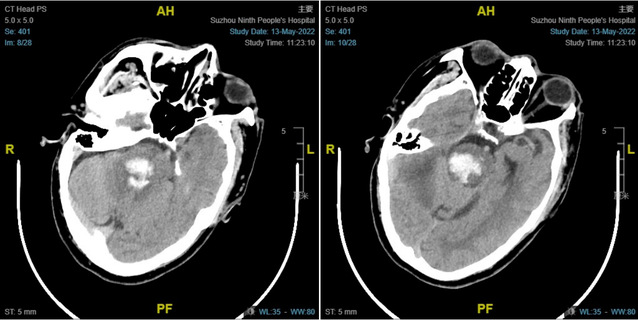
5月13日,患者蒋某某因突发昏迷由120急送至九院急诊抢救,急诊科医生接诊后迅速判断病情:患者昏迷,左侧肢体肌张力高,考虑脑出血可能。急查CT明确:脑干出血。患者脑干出血量大,严重危及生命。神经外科医师接到急会诊通知后迅速到场,并将患者收入神经重症监护病房行进一步诊治。
 
脑干是人体的生命中枢,负责呼吸、心跳、血压等生命体征以及人体复杂的反射活动的调节,通常如出血量达10ml以上,死亡率极高。脑干出血的手术难度也是极为困难,曾有着“手术禁区”的说法。
经苏州九院神经外科主任张卫带领的神经内镜团队充分讨论,结合患者出血特点,拟行“神经内镜下经枕下后正中膜髓帆入路脑干血肿清除术”。术前,邹煜主任与家属详细沟通手术方案,并告知其风险,家属当即表示同意手术治疗方案。
 
历经5个小时,手术取得了成功,术后复查CT示脑干血肿清除完全,减压充分。术后,神经重症医护团队为患者制定了详尽的治疗及护理方案。在医护的共同努力下,患者术后第二天意识即逐渐开始好转,术后第三天,可言语,肢体可活动。经过10余天的治疗,患者病情进一步好转出院。接下去,将进行下一步综合康复治疗。
科室介绍
苏州九院神经外科是吴江区临床重点专科、中国脑积水中心联盟单位、泛长三角神经外科联盟单位、江苏省神经外科临床医学中心吴江分中心。
今年初,与神经内科整合,开设了神经重症监护病房。目前开放重症病床16张,拥有STORZ神经内镜+气动臂工作系统、蔡司多功能显微镜、莱卡多功能显微镜、Doro头架及自动牵开系统、Mayfield头架、史赛克开颅动力系统、蛇牌软轴牵开器、索菲萨颅内压监护仪、颅内压多级指标分析仪、UNIQ Clarity FD20/20数字减影血管造影系统、中央监护站、有创正压呼吸机、经颅磁刺激仪、血栓弹力图仪、包裹式冰毯仪、血液净化仪等各种先进的仪器设备。
神经重症监护病房团队可熟练开展多项技术,如超早期静脉溶栓治疗脑梗死;大面积脑梗死的综合治疗;大剂量糖皮质激素及大剂量静脉人血丙种球蛋白在神经系统免疫性疾病中的应用;并可开展急诊动脉溶栓、取栓术、脑血管造影和颅内外血管内支架植入术,动脉瘤栓塞术;危重症颅脑外伤的综合诊疗、自发性脑出血手术、颅内动脉瘤夹闭及介入手术、颅内肿瘤、血管畸形、鞍区肿瘤的手术治疗、高血压脑出血全内镜下微创手术。
神经外科 黄传俊